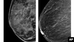
Yon gwoup chèchè rejte gid yon gwoup ekspè te fè pou di tout fi ki gen 50an pou pipiti dwe fè tès mammogram chak 2 zan. Nouvo etid la prefere tès depistaj la fèt chak ane. Kontrèman ak 2009, ane ansyen etid la te pibliye, gen plis chans pou detekte yon timè si tès la fèt chak ane.
Nouvo etid la ke Sant Medikal la te fè sou plis pase 43 mil fi ki nan 40tèn yo e 65an pou pipiti, jwenn 205 ka kansè pami medam nan group sa a.
Prèske 20 pousan medam ki te gen timè nan sen nan gwoup fi sa yo te nan 40èn yo. Otè prensipal etid la Elizabeth Arleo se pwofesè radyoloji nan Fakilte Medikal Weill nan Sant Medikal Cornell la.
Li di rezilta yo ekate rekòmandasyon ki te mande mwens tès depistaj kont kansè nan sen an pou l fèt sèlman yon fwa chak 2zan akoz, dapre kèk ekspè, pa gen anpil fi ki devlope kansè nan sen lè yo nan 40tèn yo.
Etid ekip doktè Arleo a parèt apre The New England Journal of Medicine te pibliye yon atik ki analize rezilta 30an etid statistik gouvènman ameriken an fè sou tès mammogram. Patisipan yo rapòte sou chak 3 pasyan youn pami yo kidonk 1 milyon 300 mil fi te jwen yo gen kansè nan sen apre yon tès woutin.
An 2009 radyolojis yo ak group feminis yo te leve vwa yo apre Komite Sèvis Prevansyon Sanitè – ki pa depann gouvènman ameriken an – te rekòmande olye pou medam yo fè tès depistaj la chak ane apati de 40an, yo dwe fè l pito chak 2 zan lè yo gen 50an.
Sosyete Ameriken kont Kansè kontinye rekòmande pou tès depistaj la fèt chak ane apati de 40 an. Pwofesè Arleo kwè polemik ant 2 rekòmandasyon sa yo bay kreye konfizyon kay medam yo akoz yo pa konnen ki rekòmandasyon yo dwe swiv.
Nouvo etid la ke Sant Medikal la te fè sou plis pase 43 mil fi ki nan 40tèn yo e 65an pou pipiti, jwenn 205 ka kansè pami medam nan group sa a.
Prèske 20 pousan medam ki te gen timè nan sen nan gwoup fi sa yo te nan 40èn yo. Otè prensipal etid la Elizabeth Arleo se pwofesè radyoloji nan Fakilte Medikal Weill nan Sant Medikal Cornell la.
Li di rezilta yo ekate rekòmandasyon ki te mande mwens tès depistaj kont kansè nan sen an pou l fèt sèlman yon fwa chak 2zan akoz, dapre kèk ekspè, pa gen anpil fi ki devlope kansè nan sen lè yo nan 40tèn yo.
Etid ekip doktè Arleo a parèt apre The New England Journal of Medicine te pibliye yon atik ki analize rezilta 30an etid statistik gouvènman ameriken an fè sou tès mammogram. Patisipan yo rapòte sou chak 3 pasyan youn pami yo kidonk 1 milyon 300 mil fi te jwen yo gen kansè nan sen apre yon tès woutin.
An 2009 radyolojis yo ak group feminis yo te leve vwa yo apre Komite Sèvis Prevansyon Sanitè – ki pa depann gouvènman ameriken an – te rekòmande olye pou medam yo fè tès depistaj la chak ane apati de 40an, yo dwe fè l pito chak 2 zan lè yo gen 50an.
Sosyete Ameriken kont Kansè kontinye rekòmande pou tès depistaj la fèt chak ane apati de 40 an. Pwofesè Arleo kwè polemik ant 2 rekòmandasyon sa yo bay kreye konfizyon kay medam yo akoz yo pa konnen ki rekòmandasyon yo dwe swiv.